Jak lepiej chronić przeszczepioną nerkę?
Połączenie immunologii i sztucznej inteligencji
Kiedy myślimy o przeszczepie nerki, wyobrażamy sobie dramatyczny moment operacji, listę leków immunosupresyjnych, pierwsze badania krwi po zabiegu. Rzadziej myślimy o tym, co dzieje się wiele miesięcy później, kiedy pozornie wszystko jest w porządku, a jednak w narządzie rozpoczyna się uszkadzający go proces odrzucania.
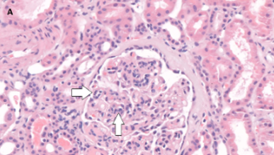
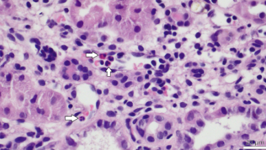
Pod mikroskopem patolog widzi uszkodzenia w różnych częściach przeszczepionej nerki i na tej podstawie ocenia, z jakim rodzajem odrzucenia mamy do czynienia. Jednym z rodzajów odrzucenia jest mikronaczyniowe zapalenie. Jeszcze kilka lat temu niedocenianie i pomijane. Jednak dziś wiemy, że właśnie ten proces patologiczny, jako część grupy odrzucania zależnego od przeciwciał, może być jedną z przyczyn uszkadzania przeszczepionej nerki. Jednak nie tak łatwo jest je rozpoznawać w nieinwazyjny sposób tj. bez wykonywania biopsji narządu. Biorąc pod uwagę najnowsze kryteria rozpoznawania odrzucenia zależnego od przeciwciał
i mikronaczyniowego zapalenia, pojawiła się także duża luka między liczbą pacjentów, u których można w biopsji rozpoznać ten rodzaj odrzucenia, a dodatnimi wynikami klasycznych i znanych już testów immunologicznych takich jak przeciwciała przeciwko antygenom zgodności tkankowej. Mówiąc prościej, bez wykonania inwazyjnej biopsji, nawet jeśli wyniki krwi wychodzą prawidłowe, nie można obecnie z całą pewnością wykluczyć, że w przeszczepionej nerce toczy się uszkadzający ją proces.
To właśnie ten problem pod lupę wziął zespół badaczy z Wrocławia, kierowany przez prof. Mirosława Banasika, specjalistę nefrologii, transplantologii i chorób wewnętrznych z Uniwersytetu Medycznego we Wrocławiu. Praca autorstwa lekarza Jakuba Mizery, doktoranta w Szkole Doktorskiej UMW, opublikowana w czasopiśmie Frontiers in Immunology, łączy klasyczną transplantologię, patomorfologię, biochemię i analitykę danych AI.
Ich pytanie brzmiało: Czy istnieją czynniki ryzyka, których standardowo nie sprawdzamy u pacjentów,a które mogą przyczyniać się do uszkadzania przeszczepu?
We Wrocławiu w poradni transplantacyjnej USK pod opieką jest ponad tysiąc pacjentów z przeszczepioną nerką. Dla części z nich przeszczep to nie epizod, ale niemal całe dorosłe życie.
Naszym celem jest wydłużenie przeżycia nerki przeszczepionej. Już obecnie w poradni transplantacyjnej, w której opiekujemy się około 1200 chorych po przeszczepieniu nerki jest ponad 120 osób funkcjonujących z narządem przeszczepionym ponad 20 lat. Mamy również chorych żyjących z narządem przeszczepionym ponad 30 lat - podkreśla prof. Mirosław Banasik.
Za tymi liczbami kryje się ambitny plan, nie tylko utrzymać dobre statystyki przeżycia narządu w organizmie pacjentów, ale je poprawić. I, co równie ważne, zrozumieć, dlaczego część przeszczepów mimo leczenia jest odrzucana i tracona przedwcześnie.
Kryteria diagnostyczne się zmieniają
Pod mikroskopem przeszczepiona nerka jest bardzo skomplikowana w budowie. Dla osoby niedoświadczonej w histopatologii tego narządu może wyglądać jak miasto oglądane z lotu ptaka. Są szerokie arterie - duże naczynia, mniejsze uliczki - kapilary, gęsta zabudowa - kłębuszki, kanaliki. Różne problemy mogą pojawiać się w każdym z tych miejsc.
Jeśli proces rozpoznawany przez patologa w biopsji nerki dotyczy kłębuszków lub kapilar nosi nazwę mikronaczyniowego zapalenia (microvascular inflammation, MVI). W wyniku zapalenia uszkadzane są wrażliwe elementy odpowiedzialne za prawidłowe funkcjonowanie narządu i filtrowanie krwi. Co ciekawe, jeszcze kilka lat temu wiele przypadków, które obecnie rozpoznajemy jako mikronaczyniowe zapalenie nie kwalifikowano formalnie jako odrzucanie. Dziś, po aktualizacji międzynarodowej klasyfikacji Banff z 2022 roku, będącej złotym standardem w diagnostyce histopatologicznej przeszczepionej nerki wiemy, że to bardzo poważny sygnał ostrzegawczy, który sugeruje, że z przeszczepionym narządem dzieje się coś złego.
Równolegle narasta inny, trudniejszy problem.
W Katedrze i Klinice Nefrologii, Medycyny Transplantacyjnej i Chorób wewnętrznych Uniwersytetu Medycznego we Wrocławiu prowadzimy szeroko-zakrojone badania nad poznaniem mechanizmów odrzucania narządu przeszczepionego. Okazuje się, że odrzucanie zależne od przeciwciał zwane odrzucaniem humoralnym odpowiada za ponad 50% utrat przeszczepionej nerki co w konsekwencji doprowadza do konieczności dializoterapii lub kolejnego przeszczepienia. Pracujemy nad poznaniem i ograniczeniem tej niekorzystnej reakcji immunologicznej - mówi prof. Banasik
W uproszczeniu: ponad połowę utrat przeszczepu można przypisać temu, że układ odpornościowy wciąż uważa podarowaną nerkę za intruza – mimo leków, nadzoru i doświadczenia klinicystów.
Klasyczne badania laboratoryjne przestają wystarczać
Przez lata za główny czynnik sprawczy związany z odrzucaniem zależnym od przeciwciał uważano tzw. przeciwciała skierowane przeciw antygenom zgodności tkankowej (HLA) – indywidualnym i unikalnym cząsteczkom charakterystycznym dla każdego pacjenta. W uproszczeniu, układ odpornościowy biorcy rozpoznaje obce dla siebie antygeny obecne na narządzie dawcy i próbuje je zwalczać. To właśnie te przeciwciała były na pierwszym planie w diagnostyce tzw. odrzucania humoralnego. Ale w praktyce coraz częściej pojawiała się znacząca rozbieżność. W biopsji patolog opisywał cechy charakterystyczne dla odrzucenia zależnego od przeciwciał, funkcja nerki się pogarszała, a standardowe testy służące do oceny immunologicznej organizmu biorcy po przeszczepie nie wykazywały dodatniego wyniku w kierunku występowania przeciwciał anty-HLA. Czyli coś uszkadza przeszczep, ale narzędzia, którymi dysponujemy, nie sygnalizują problemu.
Zespół z Uniwersytetu Medycznego we Wrocławiu postanowił przyjrzeć się przeciwciałom spoza głównej listy tzw. przeciwciałom nie-HLA. Są to przeciwciała, które skierowane są nie przeciwko antygenom zgodności tkankowej ale innym molekularnym elementom, które także są obecne w przeszczepionej nerce W centrum uwagi znalazły się te skierowane przeciwko receptorowi angiotensyny II typu 1 (AT1R), białku, które reguluje napięcie naczyń krwionośnych.
W trakcie każdej transplantacji przeszczepiony narząd znajduje się pewien czas zarówno poza organizmem dawcy jak i organizmem biorcy. W tym czasie, nawet mimo transportu w odpowiednich warunkach takich jak m.in. obniżona temperatura, z racji braku ukrwienia narządu rozpoczynają się w nim procesy, które uszkadzają jego strukturę. Zauważyliśmy, że właśnie w tym krytycznym momencie, w wyniku uszkodzeń, może dochodzić do odsłaniania w przeszczepionej nerce właśnie takich elementów wobec, których skierowane są przeciwciała non-HLA.
Archiwum przeszczepów
i cyfrowe lupy
Badanie, opublikowane w czasopiśmie Frontiers in Immunology, objęło 167 pacjentów po przeszczepie nerki. Wszystkich łączyło to, że w przeszłości mieli wykonaną biopsję z powodu pogorszenia funkcji przeszczepu. Patomorfolodzy ocenili te preparaty według najnowszych kryteriów Banff 2022, szukając cech mikronaczyniowego zapalenia. Równolegle przeanalizowano próbki krwi pod kątem obecności przeciwciał AT1R.
Powstały dwie grupy: 79 pacjentów z MVI i 88 pacjentów bez MVI.
Już pierwsze spojrzenie na dane było intrygujące. Prawie połowa pacjentów z MVI miała dodatnie przeciwciała AT1R, podczas gdy w grupie bez MVI niespełna jedna czwarta. Coś ewidentnie łączyło wysoki poziom tych przeciwciał z zapaleniem mikronaczyniowym.
Ale wrocławski zespół poszedł krok dalej. Zamiast zatrzymać się na prostym dodatni/ujemny, potraktował poziom AT1R jak skalę i zaczął szukać odpowiedzi na pytanie, od którego momentu ten szum zamienia się w naprawdę groźny hałas?
Podcast: Jak lepiej chronić przeszczepioną nerkę?
Kliknij aby posłuchać!
Sztuczna inteligencja wchodzi do gry
Tu wchodzi na scenę sztuczna inteligencja. Nie w wersji spektakularnej, generującej obrazy czy teksty, lecz w swojej analitycznej odsłonie. Algorytmy pomagają policzyć zależności, które dla ludzkiego oka są zbyt subtelne.
Wyzwaniem okazało się wykorzystanie narzędzi sztucznej inteligencji. Swoją przygodę z tym obszarem rozpocząłem stosunkowo niedługo przed rozpoczęciem doktoratu, podczas gdy analizą danych medycznych zajmuję się już od kilku lat jeszcze w trakcie studiów prowadziłem różnego rodzaju badania w ramach działalności SKN Nefrologii. Obecnie systematycznie poszerzam swoją wiedzę w zakresie metod AI, uczę się nowych technik analizy danych i ich praktycznych zastosowań - mówi lek. Jakub Mizera - Kiedy zaczynałem pracę naukową, sztuczna inteligencja nie była jeszcze tak powszechna w życiu codziennym jak dziś. Wybór tematu doktoratu był więc naturalną konsekwencją rosnącego znaczenia i potencjału tych technologii oraz coraz łatwiejszego dostępu do zaawansowanych narzędzi analitycznych. Nieocenionym wsparciem merytorycznym w zakresie AI jest dla mnie mój promotor pomocniczy, prof. Maciej Pondel z Uniwesytetu Ekononicznego we Wrocławiu - dodaje.
W badaniu wykorzystano m.in. regresję logistyczną, analizę krzywej ROC oraz tzw. association rule mining, czyli technikę, która szuka w danych wzorców typu „jeśli występuje X, to z jakim prawdopodobieństwem wystąpi Y”.
Porównanie wykazało, że im wyższy poziom przeciwciał anty-AT1R, tym większe ryzyko mikronaczyniowego zapalenia. Związek był statystycznie istotny, choć globalnie niezbyt silny. Wpływ miał także wzrost poziomu AT1R. Każdy wzrost o 1 jednostkę zwiększał ryzyko o około 6%. Najciekawszy okazał się jednak podział pacjentów na pięć grup według poziomu przeciwciał. Dopiero w najwyższym kwintylu, powyżej około 12 U/ml, ryzyko mikrozapalenia wyraźnie „wyskakiwało” ponad średnią. W tej grupie mikronaczyniowe zapalenie występowało u niemal dwóch trzecich chorych, a ryzyko było o około 37% większe niż w całej badanej grupie. Innymi słowy, nie każdy dodatni wynik jest równie groźny. Dopiero wysokie miana AT1R wydają się być szczególnie istotne.
Lek. Mizera widzi w tym punkt wyjścia do kolejnego kroku:
Obecnie prowadzimy badania, które obejmują nie tylko przeciwciała anty-AT1R, ale również ich podklasy. Dodatkowo analizujemy inne przeciwciała non-HLA, takie jak anty-ETAR, ETBR, PAR1 czy PAR2. W przyszłości planujemy, z wykorzystaniem narzędzi sztucznej inteligencji, opracować kompleksowy panel przeciwciał non-HLA. Mógłby on umożliwić nie tylko wcześniejsze wykrywanie odrzucania narządu, ale także identyfikację pacjentów z podwyższonym ryzykiem jego utraty . Taki panel stanowiłby cenne uzupełnienie obecnie stosowanych badań — m.in. oznaczania przeciwciał anty-HLA DSA czy oceny C4d w biopsji – wskazuje. - Warto podkreślić, że oznaczenia przeciwciał we krwi są zdecydowanie mniej inwazyjne niż biopsja, co w przyszłości mogłoby znacząco ułatwić monitorowanie pacjentów po przeszczepieniu nerki i usprawnić decyzje kliniczne transplantologów.
Dla laika. Chodzi o stworzenie „profilu immunologicznego” pacjenta, który da się odczytać z krwi i w którym algorytm podpowie lekarzowi: „ten chory jest w wyższej grupie ryzyka, tu warto zareagować szybciej i np. zintensyfikować leczenie immunosupresyjne”.
Dla laika. Chodzi o stworzenie „profilu immunologicznego” pacjenta, który da się odczytać z krwi i w którym algorytm podpowie lekarzowi: „ten chory jest w wyższej grupie ryzyka, tu warto zareagować szybciej i np. zintensyfikować leczenie immunosupresyjne”.
AI jako nowy stetoskop transplantologii
Czy medycyna jest gotowa na zastosowanie AI nie tylko w analizie danych, ale też w innych aspektach? Wrocławski zespół odpowiada ostrożnym, ale zdecydowanym „tak”.
- Wyniki pacjentów w poradni przeszczepowej Uniwersyteckiego Szpitala Klinicznego, w wielu przypadkach znacznie przekraczają średni czas przeżycia przeszczepionego narządu - mówi prof. Banasik. - Naszym celem jest identyfikacja nowych czynników oraz zależności między nimi, które mogą prowadzić do przedwczesnej utraty przeszczepionych nerek. Jeśli uda się je zidentyfikować i wprowadzić odpowiednie leczenie ograniczające ich negatywny wpływ, możliwe będzie nie tylko wydłużenie funkcjonowania przeszczepu powyżej średniej, lecz także uniknięcie konieczności ponownej transplantacji u tych samych pacjentów. W efekcie przeszczepy będą mogły trafiać do innych chorych, zwiększając dostępność narządów i poprawiając jakość życia pacjentów. Wierzymy, że narzędzia sztucznej inteligencji — od analizy zależności między wynikami badań po autonomiczną analizę obrazów biopsji — mają ogromny potencjał, by przyspieszyć i usprawnić diagnostykę odrzucania przeszczepów. Medycyna, w tym transplantologia, powinna być na te technologie otwarta, ponieważ ich obecność w praktyce klinicznej staje się nieunikniona. Niewykorzystanie możliwości, jakie oferuje AI, oznaczałoby rezygnację z cennego wsparcia, które może realnie poprawić skuteczność i efektywność opieki nad pacjentami.
W tym ujęciu sztuczna inteligencja nie zastępuje lekarza. Bardziej przypomina nowy rodzaj stetoskopu, narzędzie, dzięki któremu można usłyszeć rzeczy, które wcześniej ginęły w szumie danych.
Młoda nauka
Na koniec pozostaje wątek, który w świecie dużych liczb i skomplikowanych algorytmów łatwo przeoczyć, to badanie w dużej mierze jest dziełem młodej nauki.
Lek. Mizera wciąż jest w trakcie ścieżki doktorskiej. Pracuje w zespole, w którym spotykają się nefrolodzy, transplantolodzy, patomorfolodzy, biochemicy i specjaliści od analizy danych. Zapytany o to, co w takim projekcie jest najcenniejsze dla doktoranta, odpowiada:
- Najcenniejszym elementem pracy nad tą publikacją była dla mnie możliwość współpracy z uznanymi autorytetami w dziedzinie transplantologii i nefropatologii. Jestem ogromnie wdzięczny wszystkim współautorom za dzielenie się wiedzą, doświadczeniem oraz za wsparcie na każdym etapie realizacji badania. Szkoła Doktorska Uniwersytetu Medycznego we Wrocławiu stwarza doskonałe warunki do rozwoju młodych naukowców — nie tylko poprzez doskonalenie umiejętności badawczych, lecz także dzięki realnym możliwościom współpracy z ekspertami z różnych dziedzin. Niezwykle cenne jest również wsparcie w pozyskiwaniu finansowania niezbędnego do prowadzenia badań, co pozwala doktorantom realizować ambitne i interdyscyplinarne projekty na wysokim poziomie - mówi lek. Mizera.
To dobra pointa całej historii. Bo choć w tytule pracy pojawiają się trudne słowa, niezrozumiałe dla osób niezwiązanych bezpośrednio z medycyną, takie jak: „mikronaczyniowe zapalenie”, „przeciwciała nie-HLA”, w gruncie rzeczy chodzi o bardzo prostą rzecz: jak sprawić, by jeden podarowany narząd służył człowiekowi jak najdłużej.
Żeby tak się stało, trzeba poszukiwać czynników, które mimo, że do tej pory niepoznane, przyczyniają się do przedwczesnej utraty narządu. A do tego, jak pokazuje przykład z Uniwersytetu Medycznego we Wrocławiu, potrzebni są i doświadczeni klinicyści, i młodzi badacze, i algorytmy, które cierpliwie przeglądają tysiące wierszy tabel, szukając wzorów ukrytych przed ludzkim okiem.
D. Sikora
lek. Jakub Mizera, Katedra i Klinika Nefrologii, Medycyny Transplantacyjnej i Chorób Wewnętrznych
lek. Jakub Mizera, Katedra i Klinika Nefrologii, Medycyny Transplantacyjnej i Chorób Wewnętrznych
FAQ: Przeciwciała przeciwko receptorowi angiotensyny II typu 1 a zapalenie mikronaczyniowe (MVI) u osób, które przeszły przeszczep nerki
Na czym skupia się prezentowany artykuł naukowy?
Badanie koncentruje się na ocenie potencjalnej roli przeciwciał przeciwko receptorowi angiotensyny II typu 1 (AT1R abs) jako czynnika przyczyniającego się do zapalenia mikronaczyniowego (MVI) u osób po przeszczepie nerki. Naukowcy skupili się na analizie danych przy użyciu zarówno tradycyjnych metod statystycznych, jak i podejść opartych na sztucznej inteligencji (AI).
Dlaczego zapalenie mikronaczyniowe (MVI) jest istotnym problemem w transplantacji nerek?
MVI jest podkategorią odrzucenia przeszczepu wywołanego przez przeciwciała (ABMR). Klasyfikacja i diagnostyka ABMR, w szczególności MVI, zostały niedawno ponownie ocenione w klasyfikacji Banff 2022. Po tej aktualizacji ABMR stało się jedną z najczęściej diagnozowanych przyczyn immunologicznego odrzucenia przeszczepu. Tradycyjnie ABMR kojarzono przede wszystkim z przeciwciałami anty-HLA specyficznymi dla dawcy (DSA), ale w niniejszym badaniu analizuje się czynniki inne niż HLA jako potencjalne przyczyny, ponieważ tradycyjne markery nie pozwalają na dokładne zdiagnozowanie tego typu odrzucenia przeszczepu.
W jaki sposób zdefiniowano i zdiagnozowano zapalenie mikronaczyniowe (MVI)?
MVI zdiagnozowano histologicznie na podstawie wyników biopsji. Zgodnie z klasyfikacją Banff dotyczącą patologii przeszczepów nerkowych, MVI definiowano na podstawie obecności wyniku zapalenia kłębuszków nerkowych (g) > 0 i/lub wyniku zapalenia naczyń włosowatych okołonerkowych (ptc) > 0. Oceny oparto na klasyfikacji Banff z 2022 r.
Jakie były kluczowe ustalenia dotyczące przeciwciał AT1R i częstości występowania MVI?
Badanie wykazało, że pacjenci z MVI wykazywali statystycznie istotnie wyższą częstość występowania przeciwciał AT1R w porównaniu z pacjentami bez MVI.
• W grupie z MVI 37 z 79 pacjentów (46,8%) uzyskało wynik pozytywny w teście na obecność przeciwciał AT1R.
• W grupie bez MVI 21 z 88 pacjentów (23,9%) uzyskało wynik pozytywny.
• Różnica była statystycznie istotna (p=0,0018).
Czy wszystkie poziomy przeciwciał AT1R korelują ze zwiększonym ryzykiem MVI?
Nie. Analiza AI, w szczególności z wykorzystaniem eksploracji reguł asocjacyjnych (ARM), wykazała, że wysokie miana przeciwciał AT1R (>12 U/ml) były szczególnie związane z MVI. Niższe poziomy nie wykazały znaczącego związku.
• W przypadku najwyższego kwantyla przeciwciał AT1R (12,388–40,0 U/ml) prawdopodobieństwo (pewność) wystąpienia MVI wynosiło 64,7%.
• Wartość lift dla tego najwyższego kwantyla wynosiła 1,37, co wskazuje, że prawdopodobieństwo wystąpienia MVI było o 37% wyższe w tej grupie w porównaniu z ogółem populacji.
Jakie inne czynniki były związane z zapaleniem mikronaczyniowym w tej kohorcie?
W badaniu zidentyfikowano kilka innych istotnych powiązań:
• Dodatni wynik C4d: Zaobserwowano bardzo istotny związek między MVI a dodatnim wynikiem C4d (p=0,000029). Dodatni wynik C4d (stopnie 1, 2 i 3) obserwowano częściej u pacjentów wykazujących MVI.
• Zmiany histopatologiczne: Pacjenci z MVI wykazywali znacznie podwyższone średnie wyniki histopatologiczne dla śródmiąższu (wynik i), kanalików (wynik t) i naczyń tętniczych (wynik v).
• Czas ciepłej niedokrwistości (WIT): Nerki narażone na dłuższy czas ciepłej niedokrwistości były statystycznie częściej dotknięte MVI (p=0,01).
Czy badano inne przeciwciała poza HLA i jakie były wyniki?
W badaniu przeprowadzono badania przesiewowe w kierunku przeciwciał przeciwko komórkom śródbłonka (AECA) i przeciwciał przeciwko receptorowi endoteliny typu A (ETAR).
• Przeciwciała anty-ETAR: Analiza przeciwciał anty-ETAR nie wykazała statystycznie istotnego związku z MVI w tym badaniu.
• Przeciwciała anty-AECA: Nie przeprowadzono niezależnej analizy przeciwciał anty-AECA ze względu na dużą liczbę brakujących wartości (59 nieznanych zapisów).
• Jednak podczas analizy łącznej obecności przeciwciał AT1R, AECA i ETAR seropozytywność co najmniej jednego z nich była znacznie częstsza u pacjentów z MVI (63,2%) w porównaniu z pacjentami bez MVI (42%) (p=0,024).
W jaki sposób naukowcy wykorzystali techniki sztucznej inteligencji (AI)?
Ze względu na złożoność zagadnienia, metodologia wykroczyła poza konwencjonalne podejścia statystyczne, wykorzystując techniki AI w celu maksymalizacji wniosków. Te zaawansowane narzędzia obejmowały:
• analizę korelacji: w celu oceny siły związku między ciągłymi poziomami AT1R abs a MVI.
• modelowanie regresji logistycznej: w celu ilościowego określenia wpływu poziomu przeciwciał AT1R na prawdopodobieństwo wystąpienia MVI. Model ten wykazał, że wraz ze wzrostem poziomu przeciwciał AT1R o jedną jednostkę prawdopodobieństwo wystąpienia stanu zapalnego wzrasta o około 6,1% (iloraz szans 1,0614).
• analizę krzywej ROC (Receiver Operating Characteristic): w celu oceny skuteczności diagnostycznej przeciwciał AT1R w przewidywaniu MVI (AUC wyniosło 0,600).
• analizę reguł asocjacyjnych (ARM): w celu odkrycia wzorców w kategorycznych grupach wartości przeciwciał AT1R (kwantyle) i ich związku z MVI, co silnie potwierdziło znaczenie najwyższego kwantyla AT1R.
Jakie są główne wnioski i implikacje tych wyników?
W badaniu stwierdzono, że przeciwciała AT1R mogą przyczyniać się do MVI i późniejszych odrzuceń przeszczepu w transplantacji nerki. Wyniki te podkreślają potrzebę rozszerzenia monitorowania immunologicznego poza tradycyjne badania przesiewowe w kierunku przeciwciał anty-HLA.
• Obecność przeciwciał AT1R może być związana z rozwojem MVI, potencjalnie przyczyniając się do odrzucenia alloprzeszczepu w podgrupie przypadków.
• Wyniki sugerują, że przeciwciała anty-HLA, choć tradycyjne, mogą nie mieć wystarczającej czułości, aby wykryć wszystkie przypadki odrzuceń wywołanych przez przeciwciała, zwłaszcza te spowodowane przez przeciwciała inne niż HLA, takie jak przeciwciała AT1R.
• Naukowcy zalecają, aby przyszłe badania koncentrowały się na walidacji zintegrowanych modeli diagnostycznych łączących te parametry (przeciwciała inne niż HLA i histopatologia), co pozwoli na bardziej ukierunkowane interwencje terapeutyczne.
Powerd by NotebookLM

Tekst powstał na podstawie artykułu:
Angiotensin II type 1 receptor antibodies as a contributor to microvascular inflammation in kidney transplant recipients: insights from statistical and artificial intelligence based approaches
Jakub Mizera, Piotr Donizy, Agnieszka Hałoń, Dariusz Jańczak, Marta Kępinska, Maciej Pondel, Mirosław Banasik,
Frontiers in Immunology
Web. A. Maj
Photo: freepik.com, grafiki z oryginalnego artykułu
